Smile Gallery
YOUR SMILE MAKES US SMILE
Elevating Smiles & Transforming Confidence
To us, there’s nothing more rewarding than helping our patients look and feel their best. We love what we do because we know the impact of a strong and stunning smile. With Dr. Dawson’s years of experience and compassionate care, no smile is too far gone and no case is too challenging. Looking after every detail, she’s here to restore optimal oral health and bring you the smile of your dreams. Feel free to browse our beautiful transformations and see how we can help you live life in Matthews or Mint Hill with your best smile!
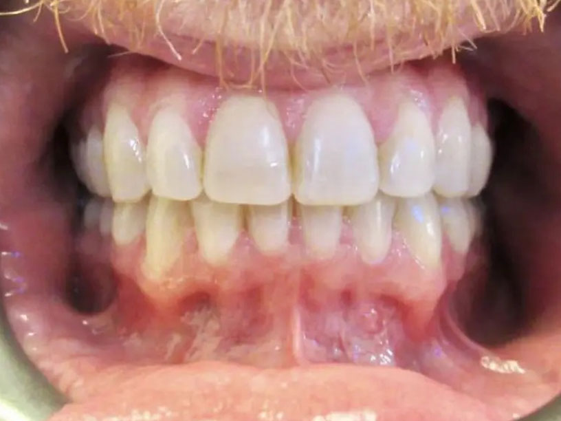
RAPID RESULTS WITH
Clear Aligners
After 8 short months, we were able to correct this patient's crowded teeth with Clear Aligners. Now this patient can smile with full confidence!
RAPID RESULTS WITH
Icon Resin Infiltration Treatment
ICON Resin Infiltration: Conservative dental treatment to address white spots on teeth. This procedure can be completed without anesthetic or removal of tooth structure with dental instruments.




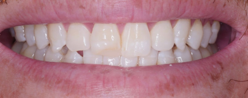
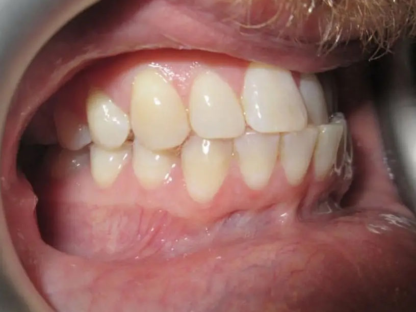
RAPID RESULTS WITH
crowns and veneers
Crowns and veneers are two popular dental treatments that can greatly enhance the appearance and functionality of your teeth. Crowns, also known as dental caps, are tooth-shaped coverings that are placed over damaged or decayed teeth. They provide strength, support, and protection to weakened teeth, restoring their shape, size, and appearance. Crowns are commonly used to treat teeth with large fillings, fractures, or root canal therapy. On the other hand, veneers are thin shells made of porcelain or composite resin that are bonded to the front surface of the teeth. They are primarily used for cosmetic purposes, as they can effectively mask various dental imperfections such as discoloration, chips, or gaps between teeth. Veneers offer a natural-looking and long-lasting solution to achieve a beautiful smile. Whether you require functional restoration or aesthetic improvement, crowns and veneers are versatile dental treatments that can significantly enhance the overall appearance and health of your teeth.



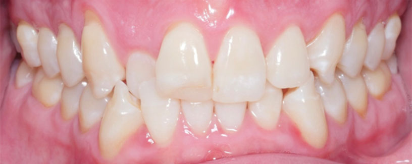
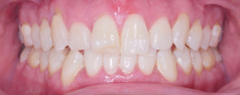
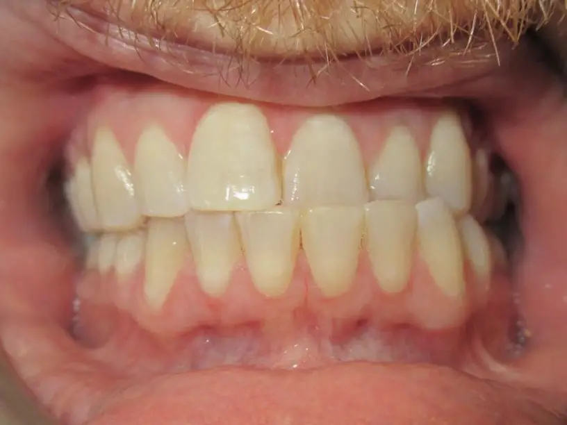
RAPID RESULTS WITH
SureSmile®
After 9 short months, we were able to correct this patient's crowded teeth with SureSmile®. Now this patient can smile with full confidence!
$99 New Patient Special
Warm welcomes are our thing. If you’re planning your first visit to Dawson Modern Dentistry in Mint Hill, we couldn’t be more excited to welcome you with our new patient special! We’ll polish and protect your smile with exceptional preventive care, so you can enjoy life with sparkling oral health.
- Detailed Exam
- Digital X-Rays
Get this New Patient Special for $79 Applicable for Children of age 14 years and younger.
*Limited Exam Special: $79 for a limited exam and necessary X-rays.
*Additional exclusions may apply
-New patients only
-Cannot be used with insurance





